特徴・予約方法
当院では、主に悪性腫瘍の早期発見のため、人間ドックとがん検診を行っております。
また、メタボリックシンドローム予防のため、脂肪測定CTで内臓脂肪量の測定をお勧めしています。
当院のCTは、基幹病院に設置のCTに比べて被爆量が6〜10分の1以下の低線量CTですので、被爆線量についてご心配いただく必要はありません。
事前にお電話または受付にてご予約ください。

人間ドック
- 検査内容
-
診察、血液検査、心電図検査、頸動脈エコー、胸部・腹部単純CT検査、視力聴力検査
- 料金
-
40,000円(税込み)
- 所要時間
-
1~2時間
- 予約方法
-
事前にお電話または受付にてご予約ください。
予約受付時間月曜〜金曜 9:30〜12:3006-6835-3794
朝食はとらずにご来院ください。(飲水は可)
-
頸動脈
エコー頸動脈エコー検査では動脈硬化の原因であるプラークの厚みを計測し、動脈硬化の進行度を調べます。
ご希望があれば内服薬を院内で処方することが可能です。その場合、保険診療となります。

-
胸腹部
単純 CT胸腹部単純CT検査において、胸部CTでは主に肺癌や、慢性閉塞性肺疾患(COPD)、腹部CTでは肝胆膵、胃、脾、副腎、腎臓、膀胱、前立腺(男性)、子宮・卵巣(女性)、腸管の腫瘍性病変やその他の疾患の有無を調べます。それ以外には、リンパ節腫大や腹水貯留なども調べることが可能です。検査結果は当日、説明し検査レポートをお渡しします。
メンズドック
(男性専用)
こんな方におすすめ
- 前立腺癌・腎癌・膀胱癌がご心配な方
- 排尿困難など前立腺肥大症を疑う症状のある方
- 尿の色や性状に異常を感じる方

- 検査内容
-
尿検査、尿細胞診、前立腺腫瘍マーカー、腎・膀胱・前立腺の超音波検査
- 料金
-
13,000円
- 所要時間
-
1時間未満
- 予約方法
-
事前にお電話または受付にてご予約ください。
予約受付時間月曜〜金曜 9:30〜12:3006-6835-3794
がん検診
胸部・腹部CTプラン
こんな方におすすめ
- 短時間内に内臓全般のチェックをしたい方

- 検査内容
-
肺、胃、肝胆膵、脾、副腎、腎臓、膀胱、前立腺(男性)、子宮・卵巣(女性)、腸管の腫瘍性病変を調べます。当日結果説明あり。
- 料金
-
18,000円(税込み)
- 所要時間
-
1時間未満
- 予約方法
-
事前にお電話または受付にてご予約ください。
予約受付時間月曜〜金曜 9:30〜12:3006-6835-3794
胸部CT+腫瘍マーカー測定プラン
こんな方におすすめ
- 喫煙習慣のある方
- 慢性的な咳や痰が気になる方
- 検査内容
-
胸部単純CTで肺癌の検索を行い、血液検査で肺癌に特異的な腫瘍マーカー測定を行います。当日結果説明あり。そのほか、大動脈瘤や乳癌など乳房腫瘤、甲状腺や縦隔腫瘤についても調べることが可能です。
- 料金
-
15,000円(税込み)
- 所要時間
-
1時間未満
- 予約方法
-
事前にお電話または受付にてご予約ください。
予約受付時間月曜〜金曜 9:30〜12:3006-6835-3794

※画像提供について、ご本人の了解はいただいております。
胸部レントゲン写真では見落とされやすい早期の肺癌についても、検出可能です。
腹部CT+腫瘍マーカー測定プラン
こんな方におすすめ
- 飲酒の習慣のある方
- 慢性的に腹痛のある方など

- 検査内容
-
腹部単純CTで腹部臓器の悪性腫瘍の検索を行い、血液検査では肝胆膵・腸管・前立腺(もしくは卵巣)・膀胱に特異的な腫瘍マーカー測定を行います。当日結果説明あり。
※ピロリ菌感染については血液検査と便検査で精査可能です。
(ピロリ菌抗体・便ピロリ菌検査。別途4,500円)
- 料金
-
15,000円(税込み)
- 所要時間
-
1時間未満
- 予約方法
-
事前にお電話または受付にてご予約ください。
予約受付時間月曜〜金曜 9:30〜12:3006-6835-3794
頭部CTプラン
こんな方におすすめ
- 物忘れが気になる方
- 慢性的な頭痛やふらつきなどある方
- 検査内容
-
頭部単純CTで認知症に特異的な所見の有無や、脳梗塞、脳出血、硬膜下・硬膜外血腫の有無など調べます。
当日結果説明あり。
- 料金
-
10,000円(税込み)
- 所要時間
-
1時間未満
- 予約方法
-
事前にお電話または受付にてご予約ください。
予約受付時間月曜〜金曜 9:30〜12:3006-6835-3794

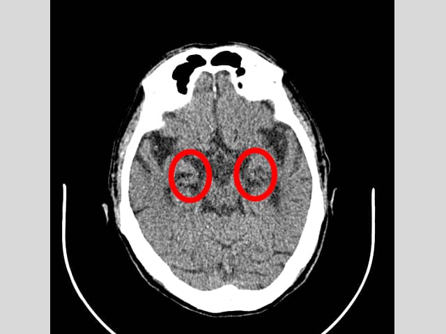
※画像提供について、ご本人の了解はいただいております。
両側側頭葉海馬の萎縮を認め、アルツハイマー型認知症に特徴的な所見です。
脂肪測定CTプラン
こんな方におすすめ
- 腹囲が気になる方
- 体重の増加が気になる方

- 検査内容
-
腹部単純CTを撮像し、内臓脂肪の体積を計測し肥満度を評価します。当日検査結果レポートをお渡しします。当日結果説明あり。
- 料金
-
10,000円(税込み)
- 所要時間
-
1時間未満
- 予約方法
-
事前にお電話または受付にてご予約ください。
予約受付時間月曜〜金曜 9:30〜12:3006-6835-3794
乳房エコー検査
女性医師が担当いたします。
こんな方におすすめ
- 乳がんの家族歴のある方
- 乳房のしこりや違和感
- 乳頭からの異常分泌物のある方

- 検査内容
-
乳腺エコー検査+視触診検査
- 料金
-
10,000円(税込み)
- 所要時間
-
1時間未満
- 予約方法
-
事前にお電話または受付にてご予約ください。
予約受付時間月曜〜金曜 9:30〜12:3006-6835-3794

